科美達產品
瀏覽量:
K2
產品描述
參數
產品特點:
1、全身應用型彩超,采用先進的成像技術,具有高清晰度的圖像,擁有完善的臨床應用解決方案
2、圖像質量優異,性能穩定,適合每天的大量診查
3、高幀頻成像技術,多條波束同時處理回波信號,提高了圖像的流暢性
4、自適應斑點消除技術,組織邊界對比度高,圖像細節分辨率優異
5、精準數字濾波技術,有效降低多普勒運動偽像,提升血流靈敏度
6、高分辨率灰階血流成像,明顯提升微細血管的血流探測能力,也利于大血管管壁成像及管壁斑塊的診斷
7、超寬頻帶波束形成和信號處理技術,適用于不同體型的患者掃查
8、優雅的設計,精致的外觀,輕巧的機身,簡單的操作流程
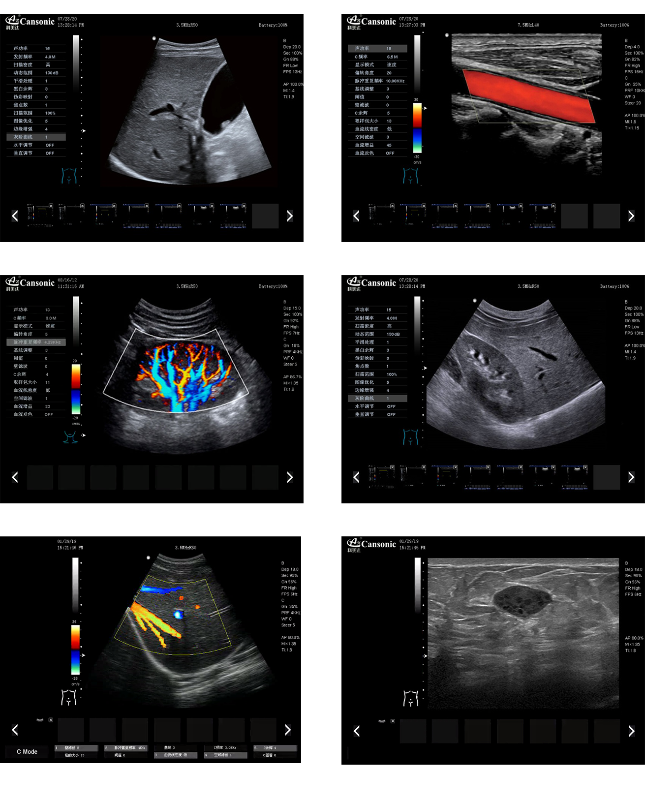
科美達K2圖像實例

地址:無錫市蠡園經濟開發區標準廠房A6棟二層
全國免費服務熱線:
4007999995
電話:0510-85169812、85167221
傳真:0510-85162335
郵編:214072
網址:
http://www.987wm.com
關注我們
手機網站
Copyright ? 2023 無錫科美達醫療科技有限公司 All rights reserved. 蘇ICP備15001300號
網站建設: 米又科技